Other Procedures
Porcelain Crowns (Caps)

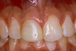
Before

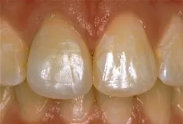
After
Before: Front (left) Central tooth has a poor restoration. Does not look natural and is not contoured properly to match the gumline of the rest of the teeth. After: Replaced with an All Porcelain Crown (no metal). Tooth is now contoured to match the rest of the gumline. Restored tooth looks very natural and matches the shape and color of the patient's teeth.
Patient Photos Depicting:
Note: Patients depicted in photos have provided their consent to display their pictures online. Results may vary.

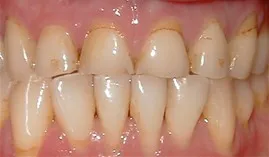
Before

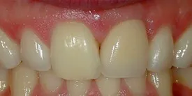
After
Before: Patient needs Upper Arch Rehabilitation. Presents with Upper Anterior teeth that are stained, incisal edges (tooth edge) are worn down and chipped, and gumline recession is present. After: Smile restored with placement of 8 Upper All Porcelain Crowns (Caps). Gumline and incisal edges are now uniform. Patient now has longer, better shaped teeth to enhance the smile line and aid in chewing/biting function.
Patient Photos Depicting:
Note: Patients depicted in photos have provided their consent to display their pictures online. Results may vary.

Before

After
Before: Patient needs a Single Tooth Replacement of one Upper Central Incisor. After: Smile and function restored with a Single Implant and an All Porcelain Crown (Cap) that fits securely over the implant.
Patient Photos Depicting:
Note: Patients depicted in photos have provided their consent to display their pictures online. Results may vary.

Before

After

Before

After
Before: Patient needs Upper and Lower Arch Rehabilitation. After: Great smile, chewing function, and facial tissue support possible with an Upper Denture that is supported with Implants and Lower Implants and Crowns.
Patient Photos Depicting:
Note: Patients depicted in photos have provided their consent to display their pictures online. Results may vary.
